ZETApress

hírportál

Új műtéti technika Pécsett

Különleges koponyasebészeti eljárást végeznek a Pécsi Tudományegyetem Klinikai Központban. Rendkívül bonyolult, oldalsó-koponyaalapi műtéteket végeznek a PTE KK fül-orr-gégészei és idegsebészei. A speciális eljárás Magyarországon jelenleg csak itt érhető el rendszeresen az érintett páciensek számára – tudatták sajtósaik.

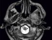
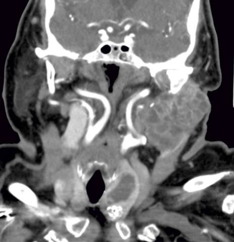
Összetett speciális műtéteket végeznek a Pécsi Tudományegyetem Klinikai Központ Fül-Orr-Gégészeti és Fej-Nyaksebészeti Klinika, valamint az Idegsebészeti Klinika szakemberei az oldalsó koponyaalapi elváltozások kezelésében. A területen végzett műtétek hatalmas kihívás elé állítják az orvosokat, hiszen a beavatkozásokhoz komoly szakmai tapasztalatra és felkészültségre van szükség.

A kooperáció a fül és a halántékcsont jó-, és rosszindulatú elváltozásait, valamint a kisagy-híd szögleti daganatok különböző típusait kezeli a nemzetközi irányelvek szerint sebészeti és konzervatív módokon. Több alkalommal a műtét során hallásrehabilitációt is elvégzett a team egy különleges eszköz beültetésével, úgy nevezett cochlearis-implantációval.

A sikeres ellátáshoz nélkülözhetetlen személyi és tárgyi feltételek eddig csak korlátozottan, vagy egyáltalán nem voltak elérhetők Magyarországon. 2023 januárjától azonban a Pécsi Tudományegyetem Klinikai Központja biztosítja a szakmai stáb rendszeres együttműködését. Eddig 37 sikeres beavatkozást végzett el a munkacsoport. Ezekre a nagyműtétekre jelenleg kéthetente kerül sor – a betegség típusától függően az együttműködésben részt vevő klinikák valamelyikén. A Klinikai Központban a komplex műtéti beavatkozás biztonságához sokszor nélkülözhetetlen többcsatornás idegmonitor és navigációs berendezés is rendelkezésre áll, továbbá a műtéti vérzést csökkentő előzetes ún. endovascularis beavatkozásokat is elvégezhetik.

A PTE Klinikai Központ és a munkacsoport a jövőben országos, majd európai regionális ellátó centrumként kívánja elvégezni a műtéteket, valamint egy oldalsó koponyalap-sebészeti magyar és nemzetközi oktatói központ létrehozását is tervezik.

Szóljon hozzá!